心臟也能瘦身!?
- 發布機關:臺北市立聯合醫院
- 聯絡人:陽明院區 心臟內科 曾梓維 主任
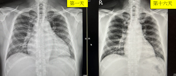
發稿日期:114年2月20日 心臟衰竭是一種嚴重且常見的心血管疾病,指心臟無法有效地供給血液來滿足全身的代謝需求。心臟擴大(Cardiomegaly)是心臟衰竭的一個常見表現,指心臟的結構性改變,例如心室或心房的異常擴張。過往一旦心臟擴大要再回復原本正常大小並不常見,但隨著藥物演進及各式心衰竭治療的進步,心臟瘦身成功的例子變得越來越多了起來。 臺北市立聯合醫院陽明院區心臟內科主任曾梓維表示,最近半年之中就有兩位年約40至50歲的男子,長期三高不控制因此心臟衰竭造成呼吸困難、無法平躺睡以及全身水腫的病人來到門診及住院治療,經藥物治療後,不只心衰竭症狀改善,心臟擴大在16天之內回復正常大小,心臟收縮力(LVEF,left ventricular ejection fraction)也由使用藥物前的28%上升到48%的案例。可見近代心衰藥物及治療確實有了長足進步。 曾梓維說,心臟擴大的成因多種多樣,常見包括:高血壓、冠狀動脈疾病、心肌病變(如擴張型心肌病)以及瓣膜疾病等。這些情況導致心臟需要承擔額外負擔,最終導致心臟結構改變並影響其功能。 心臟衰竭通常分為兩類:收縮功能不全(HFrEF),心室無法有效收縮;以及正常收縮分率型(HFpEF),心室無法有效舒張填充血液。這些改變進一步加劇心臟擴大的進程。 患者常出現症狀包括: • 呼吸困難,尤其是在活動或平躺時。 • 下肢水腫或體重短期內增加。 • 持續性的疲倦與運動耐受力下降。 診斷方面,醫生通常會利用胸部X光檢測心臟大小,心電圖評估是否有冠狀動脈狹窄或阻塞,心臟超音波則能詳細觀察心室心房及瓣膜的結構和功能。核磁共振(MRI)有助於進一步分析心臟肌肉的健康狀態。此外,血液檢查中BNP(B型利鈉蛋白鏈)的升高也是心臟衰竭的一項參考指標。 心臟擴大和心臟衰竭的治療以改善症狀、延緩疾病進展為目標。常見治療方法包括: • 藥物治療:目前四大支柱的用藥 1. 血管張力素轉化酵素抑制劑(angiotensin converting enzyme inhibitor,ACEI)及血管張力素接受器拮抗劑(angiotensin Ⅱ receptor blocker,ARB)能減輕心臟的負擔。 2. β阻斷劑有助於穩定心率。 3. 第二型鈉-葡萄糖轉運通道抑制劑(sodium-glucose co-transporter 2 inhibitor,簡稱SGLT2抑制劑)排糖減鈉同時保護腎臟。 4. 礦物皮質酮受體拮抗劑MRA(Mineralocorticoid/ Aldosterone receptor antagonists,MRAs)可排鈉排水。 • 手術治療:針對瓣膜疾病的修復或置換手術,針對冠狀動脈疾病可安排心導管手術放置支架或透過心臟再同步治療(cardiac resynchronization therapy,CRT)改善心臟的收縮泵血功能。 曾梓維指出,預防心臟擴大和心臟衰竭的關鍵在於控制危險因子,如:高血壓、高血脂和糖尿病。此外,定期健康檢查和早期發現異常心臟功能,有助於減少疾病的發生風險。生活方式改變及調整也很重要包含減鹽飲食、控制體重和戒菸限酒有助於減輕心臟壓力。 心臟擴大和心臟衰竭雖然嚴重,但通過現代醫療技術與生活方式的改變,患者的生活品質可望顯著改善。及早注意症狀並尋求專業醫療協助,對於疾病的管理至關重要。


![我的E政府 [另開新視窗]](/images/egov.png)
